دکتر سمیه کرمی
متخصص ارتودنسی و ناهنجاریهای فک و صورت، فارق التحصیل دانشکده دندانپزشکی دانشگاه علوم پزشکی دانشگاه همدان
زیبایی لبخند تنها به سفید بودن دندانها محدود نمیشود؛ نظم و هماهنگی دندانها هم اهمیت زیادی دارد. ارتودنسی یکی از مؤثرترین روشها برای رفع بینظمیهای دندانی و بهبود عملکرد دهان است.
اگر متخصص ارتودنسی در زنجان، آن هم متخصص با تجربه و کاربلد هستید، دکتر سمیه کرمی، متخصص ارتودنسی و ناهنجاریهای فک و صورت و فارغالتحصیل دانشگاه علوم پزشکی همدان، میتواند انتخابی ایدهآل باشد. در ادامه این مطلب از مطب زیبایی، تمام نکات مهم درباره ارتودنسی در سنندج، جدیدترین تکنیکها، هزینهها، شرایط اقساط و خدمات تخصصی این مرکز را با هم مرور میکنیم.
معرفی دکتر سمیه کرمی؛ متخصص ارتودنسی در سنندج
دکتر سمیه کرمی، متخصص ناهنجاریهای فک و صورت و ارتودنسی در سنندج ، از فارغالتحصیلان دانشگاه علوم پزشکی تهران در رشته دندانپزشکی است. ایشان پس از سالها فعالیت در شاخه دندانپزشکی عمومی، در سال ۱۳۹۴ وارد دوره تخصصی ارتودنسی در دانشگاه علوم پزشکی همدان شدند و با موفقیت این دوره را به پایان رساندند.
سابقه تدریس در دانشکده دندانپزشکی سنندج و درمان بیش از ۴۰۰۰ بیمار از تجربیات ارزشمند ایشان است. در مطب دکتر کرمی، تمامی روشهای ارتودنسی ثابت و متحرک با هدف اصلاح ناهنجاریهای فکی، بهبود طرح لبخند و افزایش اعتماد به نفس بیماران ارائه میشود.
آدرس مرکز ارتودنسی در سنندج
کردستان، سنندج، خیابان تعریف، رو به روی تصویربرداری شفا، ساختمان پزشکان ژیوار
تلفن نوبت دهی:
087-33229900
09187770060
ساعات کاری:
شنبه تا چهارشنبه؛ از ساعت ۸ تا ۱۶:۳۰
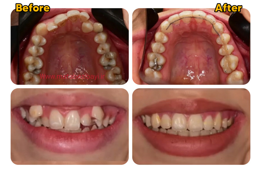
نمونه کارهای ارتودنسی در سنندج (دکتر سمیه کرمی)
خدمات تخصصی ارتودنسی در سنندج
در مطب دکترکرمی، متخصص ارتودنسی و ناهنجاریهای فک و صورت در سنندج، تمامی خدمات ارتودنسی با استفاده از روشهای پیشرفته و تجهیزات مدرن ارائه میشود. هدف ما ایجاد لبخندی زیبا و سالم برای مراجعین است. در ادامه با انواع خدمات ارتودنسی که در این مرکز انجام میشود آشنا خواهید شد:
ارتودنسی ثابت در سنندج
ارتودنسی ثابت یکی از رایجترین روشهای درمانی برای اصلاح نامرتبی و بینظمیهای شدید دندانی است. در این روش، براکتها روی سطح دندانها نصب شده و سیمهای مخصوص به مرور زمان فشار لازم را برای حرکت دندانها ایجاد میکنند.
این درمان معمولاً برای نوجوانان و بزرگسالان مناسب است و نیاز به مراجعات منظم برای تنظیم دستگاه دارد. مزیت ارتودنسی ثابت این است که امکان کنترل دقیق حرکات دندانها وجود دارد و نتیجه درمان بسیار پایدار خواهد بود. طول درمان معمولاً بین ۱۸ تا ۲۴ ماه است، اما با توجه به شدت ناهنجاری ممکن است کوتاهتر یا طولانیتر شود.
ارتودنسی متحرک در سنندج
ارتودنسی متحرک یکی دیگر از خدمات ارتودنسی در سنندج در این مرکز است که برای اصلاح بینظمیهای خفیف یا در حالتی که کودک هنوز در حال رشد است، استفاده میشود.
این دستگاهها قابلیت خارج شدن از دهان را دارند و معمولاً برای اصلاح مشکلات جزئی یا تثبیت نتایج درمان ارتودنسی ثابت به کار میروند. مزیت این روش، راحتی در نظافت دندانها و امکان خارج کردن دستگاه در مواقع ضروری است.
با این حال، برای اثربخشی کامل، بیمار باید همکاری لازم را داشته باشد و دستگاه را طبق دستور پزشک استفاده کند. مدت درمان با ارتودنسی متحرک بسته به نوع مشکل، معمولاً کوتاهتر از ارتودنسی ثابت است.
ارتودنسی نامرئی در سنندج (الاینرهای شفاف)
برای افرادی که به دنبال درمانی بدون دیده شدن براکتهای فلزی هستند، ارتودنسی نامرئی گزینهای ایدهآل است. در این روش، از قالبهای شفاف و کاملاً متناسب با دندانها استفاده میشود که بهصورت دورهای تعویض میشوند تا دندانها به موقعیت ایدهآل خود حرکت کنند.
این سیستم علاوه بر زیبایی، راحتی زیادی برای بیمار ایجاد میکند و امکان مسواکزدن و غذا خوردن بدون محدودیت وجود دارد. ارتودنسی نامرئی بهویژه برای بزرگسالانی که در محیط کاری یا اجتماعی تمایل به ظاهر طبیعی دارند، بسیار محبوب است. مدت درمان معمولاً مشابه ارتودنسی ثابت اما با آسایش بیشتر است.
ارتودنسی پیشگیری و ارتودنسی کودکان در سنندج
ارتودنسی پیشگیری مخصوص کودکان در حال رشد است و هدف آن جلوگیری از بروز ناهنجاریهای شدید در آینده است. در این روش، با استفاده از دستگاههای ساده، رشد فک هدایت شده و فضای کافی برای رویش دندانهای دائمی فراهم میشود. مداخله زودهنگام باعث میشود کودک در سنین بالاتر به درمانهای پیچیده نیاز نداشته باشد.
این نوع درمان معمولاً بین سنین ۶ تا ۱۲ سالگی انجام میشود و میتواند شامل پلاکهای متحرک، گسترشدهندههای فکی یا دیگر دستگاههای مخصوص رشد باشد. ارتودنسی در سنندج مخصوص کودکان و با کیفیت بالا، در این مرکز برای کودکان دلبند کردستانی انجام میشود.
ارتودنسی همراه با جراحی فک
در برخی بیماران، ناهنجاریهای فکی بهقدری شدید است که تنها با ارتودنسی برطرف نمیشود و جراحی فک در کنار درمان ارتودنسی لازم است. این روش برای افرادی که دچار مشکلاتی مانند جلو یا عقب بودن فکها یا عدم تقارن صورت هستند، پیشنهاد میشود.
ابتدا ارتودنسی برای مرتبکردن دندانها انجام شده و سپس جراحی فک صورت میگیرد تا موقعیت فکها اصلاح شود. پس از جراحی نیز ارتودنسی برای تکمیل درمان ادامه مییابد.
این روش نیازمند برنامهریزی دقیق و همکاری کامل بیمار با تیم درمانی است، اما نتیجه آن اصلاح کامل فرم صورت و بهبود عملکرد دهان خواهد بود.
ارتودنسی دیمون (Damon System
سیستم دیمون یکی از پیشرفتهترین روشهای ارتودنسی ثابت است که با براکتهای خاص و مکانیزم کشویی طراحی شده تا فشار کمتری به دندانها وارد شود. این ویژگی باعث کاهش درد و کوتاه شدن طول جلسات درمان میشود.
براکتهای دیمون نیاز به کشهای ارتودنسی معمولی ندارند و به همین دلیل، حرکت دندانها طبیعیتر و سریعتر اتفاق میافتد. این روش برای افرادی که به دنبال درمانی راحتتر با مراجعه کمتر به مطب هستند، انتخابی مناسب است. ارتودنسی دیمون همچنین به حفظ بهداشت دهان کمک میکند، زیرا فضای کمتری برای تجمع پلاک ایجاد میشود.
طول درمان در این روش اغلب کوتاهتر از روشهای سنتی است. بیماران متقاضی ارتودنسی در سنندج میتوانند با مراجعه به مطب دکتر سمیه کرمی، در مورد شرایط دندانی خود و درمان با روش دیمون از خانم دکتر مشاوره بگیرند.
ارتودنسی بزرگسالان در سنندج
برخلاف تصور رایج، درمان ارتودنسی فقط مختص کودکان و نوجوانان نیست؛ بسیاری از بزرگسالان نیز برای اصلاح ناهنجاریهای دندانی و بهبود طرح لبخند به این درمان نیاز دارند.
ارتودنسی بزرگسالان با استفاده از روشهای مدرن مانند براکتهای همرنگ دندان یا لاینرهای شفاف انجام میشود تا ظاهر بیمار در طول درمان حفظ شود. این نوع درمان به دلیل تراکم استخوان و محدودیتهای رشد، ممکن است زمان بیشتری نسبت به کودکان نیاز داشته باشد، اما نتایج آن کاملاً رضایتبخش است.
با انتخاب روش مناسب و پیروی از دستورات متخصص، بزرگسالان نیز میتوانند لبخندی زیبا و متقارن داشته باشند. بیماران سنندجی عزیز، بدون در نظر گرفتن محدوده سنی میتوانند برای دریافت مشاوره درمان ارتودنسی در سنندج به ما مراجعه کنند.
قیمت ارتودنسی در سنندج
هزینه ارتودنسی در سنندج تحتتأثیر عوامل مختلفی مانند نوع درمان (ثابت، متحرک، نامرئی)، شدت ناهنجاریهای دندانی و مدتزمان درمان قرار دارد.
معمولاً ارتودنسی ثابت هزینهای کمتر از روشهای مدرن مانند لاینرهای شفاف دارد، اما هر روش بسته به نیاز بیمار انتخاب میشود. همچنین تجربه متخصص و کیفیت مواد مصرفی میتواند بر قیمت نهایی تأثیر بگذارد.
برای برآورد دقیق هزینه، معاینه حضوری ضروری است، زیرا هر بیمار شرایط منحصربهفردی دارد. در این مرکز، قبل از شروع درمان، تمام جزئیات و هزینهها بهطور شفاف توضیح داده میشود تا بیمار با آگاهی کامل تصمیم بگیرد.
ارتودنسی قسطی در سنندج
یکی از دغدغههای بیماران برای شروع درمان ارتودنسی، هزینه آن است. به همین دلیل در این مرکز، امکان ارتودنسی اقساطی در سنندج برای بیماران سنندجی و کردستانی فراهم شده است تا بیماران بدون نگرانی مالی، درمان خود را آغاز کنند.
شرایط اقساطی بهگونهای طراحی شده که متناسب با توان پرداخت هر بیمار باشد و فشاری از نظر اقتصادی وارد نشود. این برنامه انعطافپذیر، کمک میکند همه افراد بتوانند از خدمات تخصصی ارتودنسی بهرهمند شوند و لبخندی زیبا و سالم داشته باشند.
برای اطلاع از جزئیات شرایط اقساطی، کافی است در جلسه مشاوره حضوری، اطلاعات کامل دریافت کنید و یا با شماره تلفن هایی که در ابتدای مطب اعلام شد تماس بگیرید.
علائم نیاز به ارتودنسی چیست؟
تشخیص نیاز به ارتودنسی در زمان مناسب، میتواند از بروز مشکلات جدی در دندانها و فک جلوگیری کند و روند درمان را آسانتر کند. علائم نیاز به ارتودنسی را میتوانید در جدول زیر مطالعه کنید.
| علائم نیاز به ارتودنسی | |
|---|---|
| علامت | توضیح کوتاه |
| نامرتبی دندانها | دندانها در موقعیت درست قرار نگرفتهاند و باعث ظاهر نامتقارن یا مشکل در جویدن میشوند. |
| جمع شدن دندانها (Crowding) | کمبود فضا در فک باعث روی هم قرار گرفتن دندانها و ایجاد مشکلات بهداشتی و زیبایی میشود. |
| فاصله زیاد بین دندانها (Spacing) | وجود فاصلههای بزرگ بین دندانها که باعث مشکل در جویدن و زیبایی میشود. |
| بایت نامناسب (Overbite/Underbite) | قرارگیری غیرطبیعی فک بالا نسبت به فک پایین که باعث مشکلات جویدن و فکی میشود. |
| دندانهای روی هم یا جلو آمده | دندانهای جلو آمده یا روی هم قرار گرفته علاوه بر ظاهر نامطلوب، خطر آسیب به دندانها را افزایش میدهد. |
| مشکلات گفتاری یا جویدن | مشکلات در تلفظ صحیح صداها یا جویدن مناسب غذا میتواند نشاندهنده نیاز به ارتودنسی باشد. |
سوالات متداول و پر تکرار بیماران ارتودنسی در سنندج
مدت زمان درمان ارتودنسی در سنندج بسته به نوع روش انتخابی و شدت نامرتبی دندانها متفاوت است. معمولاً بین ۱۲ تا ۲۴ ماه طول میکشد، اما برخی بیماران ممکن است زمان کوتاهتر یا طولانیتری نیاز داشته باشند. معاینه دقیق و برنامهریزی تخصصی توسط پزشک متخصص، زمان تقریبی درمان را مشخص میکند.
انتخاب روش ارتودنسی بستگی به شدت نامرتبی دندانها، سن بیمار و هدف درمان دارد.پزشک متخصص، پس از معاینه کامل، بررسی رادیوگرافیها و قالبگیری دندانها، مناسبترین روش را تعیین میکند. چه ارتودنسی ثابت، متحرک یا نامرئی، برنامه درمانی با توجه به شرایط هر بیمار طراحی میشود تا بهترین نتیجه و راحتی حداکثری حاصل شود.
ارتودنسی کودکان معمولاً بین ۶ تا ۱۲ سال آغاز میشود، اما بزرگسالان نیز میتوانند درمان ارتودنسی در سنندج را انجام دهند. درمان متناسب با شرایط فرد برنامهریزی میشود و هیچ محدودیت سنی برای اصلاح نامرتبی دندانها وجود ندارد.
در این مرکز ارتودنسی سنندج، امکان پرداخت اقساطی فراهم است. بیماران میتوانند بدون نگرانی از هزینه، درمان خود را شروع کنند و از خدمات پیشرفته و تخصصی ارتودنسی بهرهمند شوند. این برنامه انعطافپذیر، دسترسی به درمان را برای همه فراهم میکند.
رعایت بهداشت دهان و دندان، مسواک زدن منظم، استفاده از نخ دندان و مراجعه به موقع برای ویزیتهای دورهای، از مهمترین مراقبتها برای ماندگاری نتیجه درمان ارتودنسی است. پیروی از این نکات باعث میشود لبخند شما سالم و زیبا باقی بماند و از هرگونه مشکل احتمالی جلوگیری شود.
چرا جلسه مشاوره قبل از ارتودنسی مهم است؟
قبل از شروع هر درمان ارتودنسی، یک جلسه مشاوره اهمیت بسیار بالایی دارد. در این جلسه، متخصص دندانپزشکی با بررسی دقیق دندانها، فک و تصاویر رادیولوژی، وضعیت هر بیمار را بهصورت کامل ارزیابی میکند. همچنین قالبگیری دندانها و تحلیل وضعیت بینظمیها انجام میشود تا بهترین روش درمان مشخص شود. این برنامهریزی شخصی سازی شده، به بیماران کمک میکند تا از طول درمان، هزینهها و مراحل دقیق آگاه باشند و نتیجه نهایی دقیق، مطمئن و ماندگار باشد. مشاوره قبل از شروع درمان ارتودنسی در سنندج، گام اول برای داشتن لبخندی سالم، متقارن و جذاب است و میتواند از بروز مشکلات احتمالی در طول درمان جلوگیری کند.
مزایای ارتودنسی در سنندج با دکتر کرمی
انتخاب دکتر کرمی برای بیماران ارتودنسی در سنندج یعنی تجربه درمان تخصصی همراه با آسودگی خاطر؛ مهمترین مزایا این انتخاب عبارتند از:
تخصص و تجربه بالا
با بیش از ۴۰۰۰ درمان موفق و سالها فعالیت تخصصی، دکتر کرمی درمانی دقیق و پایدار ارائه میدهد. تجربه بالا، ضامن کیفیت و نتیجه مطلوب است.
استفاده از تکنیکهای مدرن
روشهای پیشرفته مانند ارتودنسی نامرئی و سیستمهای جدید باعث سرعت بالاتر، راحتی بیشتر و حفظ زیبایی ظاهر در طول درمان میشود.
طرح درمان شخصیسازیشده
برای هر بیمار، بر اساس شرایط و نیازهای خاص، برنامه اختصاصی طراحی میشود تا بهترین نتیجه با حداقل زمان حاصل شود.
امکان پرداخت اقساطی
با شرایط اقساطی منعطف، بیماران بدون نگرانی مالی میتوانند درمان ارتودنسی خود را آغاز کنند و لبخندی ایدهآل داشته باشند.
محیط بهداشتی و آرام
مطب دکتر کرمی متخصص ارتودنسی در سنندج، با رعایت کامل اصول بهداشتی و ایجاد فضایی آرام، تجربهای بدون استرس را برای بیماران فراهم میکند تا روند درمان با آرامش طی شود.
پشتیبانی و پیگیری منظم
پس از شروع درمان، بیماران از مشاوره، ویزیتهای منظم و پیگیری دقیق برخوردار میشوند تا روند درمان بدون مشکل و مطابق برنامه پیش برود.
جمع بندی و حرف آخر
ارتودنسی یکی از مهمترین درمانهای دندانپزشکی برای داشتن لبخندی زیبا و عملکرد صحیح دندانهاست. اگر به دنبال بهترین خدمات ارتودنسی در سنندج هستید، مطب دکتر سمیه کرمی با تخصص، تجربه، تجهیزات مدرن و شرایط پرداخت متنوع، انتخابی مطمئن است.
از طرح درمان شخصیسازیشده تا محیطی آرام و بهداشتی، همه چیز برای راحتی و رضایت بیماران فراهم شده است. چه برای اصلاح نامرتبی دندانها، چه برای زیبایی لبخند، میتوانید با اطمینان این مرکز را انتخاب کنید و درمانی حرفهای و نتیجهای ماندگار را تجربه نمایید.



