دکتر ایلناز احرامی
متخصص ارتودنسی در زنجان، فارق التحصیل دندانپزشکی عمومی از دانشگاه علوم پزشکی همدان و دارای بورد تخصصی ارتودنسی و ناهنجاریهای فک و صورت از دانشگاه آزاد اصفهان
ارتودنسی یکی از تخصصهای مهم دندانپزشکی است که نقش زیادی در زیبایی لبخند و عملکرد درست دندانها دارد. اگر به دنبال دریافت خدمات حرفهای ارتودنسی در زنجان هستید، دکتر ایلناز احرامی با ۱۶ سال تجربه تخصصی در این حوزه، انتخابی قابل اعتماد برای شماست.
در این مطلب از مطب زیبایی، با تمام نکات مهم درباره ارتودنسی در زنجان، هزینهها، امکان پرداخت اقساطی، روشهای مناسب برای کودکان و خدمات پیشرفته کلینیک آشنا خواهید شد.
معرفی دکتر ایلناز احرامی؛ بهترین متخصص ارتودنسی در زنجان
دکتر ایلناز احرامی یکی از برجستهترین متخصصان ناهنجاریهای فک و صورت و ارتودنسی در زنجان است که بیش از ۱۶ سال سابقه تخصصی در این حوزه دارد.
ایشان پس از پایان تحصیلات دندانپزشکی عمومی در دانشگاه علوم پزشکی همدان، دوره تخصصی ارتودنسی را در دانشگاه آزاد اصفهان گذرانده و موفق به اخذ بورد تخصصی ارتودنسی شدهاند. دکتر احرامی علاوه بر فعالیتهای بالینی، سابقه تألیف ۱۲ مقاله علمی و نگارش دو جلد کتاب تخصصی ارتودنسی را در کارنامه خود دارد.
بهرهگیری از جدیدترین متدهای درمانی و فناوریهای پیشرفته، رویکرد اصلی ایشان برای دستیابی به بهترین نتایج درمانی است. هدف دکتر احرامی همواره ایجاد لبخندی سالم، زیبا و ماندگار برای بیماران بوده است.
آدرس مرکز ارتودنسی در زنجان
زنجان ، تقاطع دلجویی ، ساختمان دلتا ، طبقه دوم، دکتر احرامی
تلفن نوبت دهی:
۰۲۴-۳۳۳۶۹۸۹۹
۰۲۴-۳۳۳۶۹۸۹۸
ساعات کاری:
شنبه تا پنجشنبه؛ از ساعت ۹ تا ۱۸
موقعیت دقیق مطب دکتر احرامی، متخصص ارتودنسی در زنجان
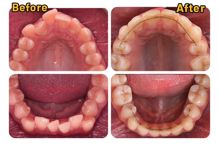
نمونه کارهای ارتودنسی در زنجان (دکتر ایلناز احرامی )
خدمات تخصصی ارتودنسی در زنجان
در مطب تخصصی دکتر ایلناز احرامی در زنجان، تمامی خدمات ارتودنسی با هدف اصلاح ناهنجاریهای دندانی، بهبود عملکرد فک و ایجاد لبخندی سالم و زیبا ارائه میشود.
این خدمات شامل روشهای متنوع درمانی برای کودکان و بزرگسالان، بر اساس نیازهای خاص هر بیمار است. از ارتودنسی ثابت و متحرک تا روشهای نامرئی، لینگوال و درمانهای ترکیبی همراه با جراحی فک، همگی با استفاده از جدیدترین تکنیکها و استانداردهای روز دنیا انجام میشوند.
در ادامه، هر یک از خدمات ارتودنسی در زنجان در مطب دکتر احرامی را بهصورت کامل معرفی میکنیم تا با بهترین گزینه برای درمان خود آشنا شوید.
ارتودنسی ثابت در زنجان
ارتودنسی ثابت یکی از رایجترین و مؤثرترین روشهای اصلاح نامرتبیهای دندانی است. در این روش، براکتها روی دندانها قرار میگیرند و با کمک سیمهای مخصوص، دندانها به آرامی به موقعیت صحیح هدایت میشوند.
این نوع ارتودنسی برای درمان مشکلات پیچیده مانند بایت معکوس، نامرتبی شدید و فاصلههای بزرگ بین دندانها مناسب است. طول درمان بسته به شدت مشکل بین ۱۸ تا ۲۴ ماه متغیر است.
در این مرکز ارتودنسی زنجان، امکان انتخاب براکتهای فلزی یا سرامیکی وجود دارد تا بیماران براساس سلیقه و نیاز خود بهترین گزینه را انتخاب کنند.
ارتودنسی متحرک در زنجان
ارتودنسی متحرک بیشتر برای اصلاح ناهنجاریهای خفیف یا کنترل رشد فک در کودکان بهکار میرود. این دستگاهها قابلیت خارج شدن دارند و معمولاً به شکل پلاکهای شفاف یا رنگی ساخته میشوند.
ارتودنسی متحرک برای هدایت رشد دندانها، بستن فاصلههای کوچک یا آمادهسازی فک برای ارتودنسی ثابت استفاده میشود. نکته مهم در این روش همکاری بیمار است، زیرا عدم استفاده مداوم طبق دستور پزشک میتواند طول درمان را افزایش دهد.
ارتودنسی نامرئی در زنجان
ارتودنسی نامرئی یا اینویزیلاین یکی از محبوبترین روشهای مدرن ارتودنسی است که برای افرادی طراحی شده که به ظاهر لبخند خود اهمیت زیادی میدهند.
در این روش، از پلاکهای شفاف استفاده میشود که تقریباً دیده نمیشوند. این پلاکها بهصورت اختصاصی برای بیمار ساخته میشوند و هر چند هفته یکبار تعویض میشوند تا دندانها بهتدریج حرکت کنند.
مزیت اصلی این روش امکان خارج کردن پلاکها هنگام غذا خوردن و مسواک زدن است که رعایت بهداشت دهان را آسانتر میکند.
ارتودنسی لینگوال در زنجان
در ارتودنسی لینگوال، براکتها در سطح داخلی دندانها (سمت زبان) نصب میشوند و به همین دلیل از نظر ظاهری کاملاً نامحسوس هستند. این روش همان عملکرد ارتودنسی ثابت را دارد اما به دلیل موقعیت براکتها نیاز به دقت بیشتری در بهداشت دهان و نصب دارد.
ارتودنسی لینگوال برای افرادی مناسب است که ظاهر براکتها برایشان اهمیت زیادی دارد و به دنبال یک درمان نامرئی هستند. خدمات ارتودنسی در زنجان در مطب دکتر احرامی، این روش ارتودنسی را نیز به شما ارائه میدهد.
ارتودنسی کودکان در زنجان
ارتودنسی کودکان با هدف اصلاح مشکلات دندانی و فکی در سنین پایین انجام میشود تا از بروز مشکلات جدی در آینده جلوگیری شود. درمان زودهنگام باعث کاهش مدتزمان ارتودنسی در بزرگسالی و جلوگیری از نیاز به جراحی فک میشود.
این درمان معمولاً با دستگاههای متحرک آغاز شده و در صورت نیاز، ارتودنسی ثابت در مراحل بعدی انجام میشود. در کلینیک ارتودنسی در زنجان تحت نظر دکتر احرامی، خدمات ارتودنسی کودکان با استفاده از تجهیزات مناسب و رویکردی دوستانه برای ایجاد تجربهای بدون استرس ارائه میشود.
ارتودنسی بزرگسالان زنجان
برخلاف تصور عموم، ارتودنسی محدود به دوران کودکی یا نوجوانی نیست. امروزه بزرگسالان زیادی برای بهبود لبخند و اصلاح مشکلات فکی و دندانی به سراغ ارتودنسی میروند.
در این مرکز خدمات ارتودنسی در زنجان، روشهای متنوعی برای بزرگسالان ارائه میشود، از ارتودنسی نامرئی و لینگوال گرفته تا درمانهای ترکیبی با جراحی فک در موارد پیچیده. استفاده از فناوریهای پیشرفته باعث شده مدتزمان درمان کوتاهتر و نتایج دقیقتر باشد.
درمان ناهنجاریهای فک و جراحی تخصصی
در مواردی که مشکلات فکی شدید باشد، تنها ارتودنسی برای اصلاح کامل کافی نیست و نیاز به جراحی فک وجود دارد. این روش معمولاً برای درمان ناهنجاریهایی مانند جلو یا عقب بودن فک بالا یا پایین و مشکلات بایت پیچیده بهکار میرود.
در این مرکز تخصصی ارتودنسی در زنجان، درمانهای ترکیبی ارتودنسی و جراحی با همکاری تیم تخصصی انجام میشود تا بهترین نتایج عملکردی و زیبایی برای بیمار حاصل شود. این نوع درمان نیاز به برنامهریزی دقیق و مشاوره کامل دارد تا مراحل درمان به بهترین شکل انجام گیرد.
مدت زمان ارتودنسی چقدر است؟
مدت زمان ارتودنسی برای هر فرد بسته به نوع ناهنجاریهای دندانی و فکی، روش انتخابی درمان و همکاری بیمار متفاوت است. به طور کلی، برخی درمانها ممکن است تنها چند ماه زمان ببرند، در حالی که موارد پیچیدهتر نیاز به چند سال پیگیری دارند. عواملی مانند سن بیمار، رعایت بهداشت دهان و دندان، حضور منظم در جلسات تنظیم و استفاده صحیح از وسایل کمکی ارتودنسی نیز تأثیر مستقیمی بر طول درمان دارند. بیماران محترم ارتودنسی در زنجان میتوانند برای آشنایی دقیقتر با مدت زمان تقریبی ارتودنسی در روشهای مختلف، جدول زیر را مشاهده کنند.
| مدت زمان ارتودنسی در روشهای مختلف | |
|---|---|
| روش ارتودنسی | مدت زمان تقریبی درمان |
| ارتودنسی ثابت فلزی | ۱۸ تا ۲۴ ماه |
| ارتودنسی ثابت سرامیکی | ۲۰ تا ۲۶ ماه |
| ارتودنسی نامرئی (اینویزالاین) | ۱۲ تا ۱۸ ماه |
| ارتودنسی متحرک | ۶ تا ۱۲ ماه |
| ارتودنسی دیمون | ۱۴ تا ۲۰ ماه |
چرا ارتودنسی در زنجان با دکتر ایلناز احرامی انتخابی هوشمندانه است؟
دلایل زیادی وجود دارد که بیماران ارتودنسی در زنجان برای درمان خود، مطب دکتر ایلناز احرامی را انتخاب میکنند. برخی از مهمترین آنها عبارتند از:
استفاده از فناوریهای پیشرفته و تجهیزات مدرن
در این مرکز ارتودنسی در سنندج، همواره از بهروزترین ابزارها و فناوریهای ارتودنسی استفاده میشود. تجهیزاتی مانند اسکنرهای دیجیتال، رادیوگرافی سهبعدی و نرمافزارهای تخصصی تشخیصی به پزشک این امکان را میدهد که وضعیت دندانها و فک را با بالاترین دقت بررسی کند. استفاده از براکتهای مدرن، ارتودنسی نامرئی و سیستمهای کماصطکاک نیز تجربه درمانی راحتتر و سریعتر را برای بیمار فراهم میکند. این فناوریها علاوه بر افزایش دقت، به کاهش مدت زمان درمان، کاهش درد و بهبود نتایج نهایی کمک چشمگیری میکنند و بیماران میتوانند با خیال آسوده به نتیجهای ماندگار دست یابند.
تجربه تخصصی و مهارت حرفهای
دکتر احرامی با بیش از ۱۶ سال سابقه در ارتودنسی، یکی از متخصصان برجسته ارتودنسی در زنجان به شمار میرود. تجربه گسترده ایشان در درمان انواع ناهنجاریهای دندانی و فکی باعث شده بیماران در هر سنی، بهترین و مطمئنترین طرح درمانی را دریافت کنند. مهارت حرفهای ایشان تنها محدود به دانش تئوری نیست، بلکه تجربه عملی در صدها درمان موفق، ضامن کیفیت کار است. بیماران میتوانند مطمئن باشند که درمانشان با کمترین خطا و بیشترین دقت پیش میرود. این تجربه ارزشمند، لبخندی زیبا و سلامت دهان و دندان ماندگار را برای مراجعهکنندگان به همراه دارد.
ارتودنسی اقساطی در زنجان
یکی از دغدغههای بیماران برای شروع درمان ارتودنسی، هزینه آن است. در این مرکز، این نگرانی با ارائه شرایط پرداخت منعطف برطرف شده است. بیماران میتوانند هزینه درمان خود را به صورت اقساطی پرداخت کنند و بدون فشار مالی از خدمات تخصصی بهرهمند شوند. این رویکرد باعث شده افراد بیشتری، از دانشآموزان گرفته تا بزرگسالان، بتوانند برای داشتن لبخندی زیبا اقدام کنند. در کنار کیفیت بالای خدمات، شفافیت در هزینهها و امکان مشاوره مالی قبل از شروع درمان نیز وجود دارد تا بیماران با آرامش خاطر بهترین تصمیم را بگیرند.
توجه شخصی به هر بیمار
یکی از مهمترین ویژگیهای این مرکز، توجه ویژه به شرایط فردی هر بیمار است. هیچکدام از بیماران صرفاً بر اساس یک الگوی کلی درمان نمیشوند، بلکه پس از بررسی کامل وضعیت دندانها، عادات روزانه و نیازهای خاص هر فرد، طرح درمانی اختصاصی طراحی میشود. این رویکرد فردمحور باعث میشود روند درمان سریعتر، راحتتر و با نتایج بهتر پیش برود. همچنین بیماران در تمام طول مسیر تحت پیگیریهای منظم قرار دارند و در صورت بروز مشکل، اصلاحات لازم به سرعت انجام میشود. همین همراهی، احساس اعتماد و رضایت بالایی در بیماران ایجاد میکند.
نتایج ماندگار و تضمین کیفیت درمان
یکی از نقاط قوت ارتودنسی نزد دکتر احرامی، ارائه نتایجی است که نه تنها زیبا، بلکه ماندگار باشند. لبخندهایی که بعد از پایان درمان شکل میگیرند، نشاندهنده دقت و کیفیت بالای خدمات هستند. استفاده از روشهای علمی، تجهیزات مدرن و مراقبتهای پس از درمان، احتمال بازگشت مشکلات را به حداقل میرساند. بسیاری از بیماران پس از سالها همچنان از نتیجه درمان خود رضایت دارند. همین موضوع باعث شده این مرکز به یکی از معتبرترین مراکز ارتودنسی در زنجان تبدیل شود. رضایت و توصیههای بیماران قدیمی نیز گواه تعهد بالای این مجموعه است.
خدمات کامل برای همه گروههای سنی
در این مرکز، خدمات ارتودنسی تنها محدود به گروه سنی خاصی نیست. کودکان، نوجوانان و بزرگسالان میتوانند متناسب با شرایط خود بهترین نوع درمان را دریافت کنند. برای کودکان، درمانهای پیشگیرانه و هدایت رشد فک در نظر گرفته میشود تا از بروز مشکلات آینده جلوگیری شود. نوجوانان معمولاً کاندید ارتودنسی ثابت هستند و بزرگسالان میتوانند از روشهای مدرنتر مثل ارتودنسی نامرئی یا براکتهای سرامیکی بهرهمند شوند. این گستردگی خدمات، همراه با مشاوره تخصصی، باعث شده همه اعضای خانواده بتوانند با اطمینان خاطر برای ارتودنسی به این مرکز مراجعه کنند.
توصیههای متخصص ارتودنسی در زنجان برای مراقبتهای بعد از ارتودنسی
مراقبت صحیح پس از شروع درمان ارتودنسی نقش مهمی در موفقیت و سرعت بهبود نتایج دارد. بهداشت دهان و دندان باید با دقت رعایت شود؛ مسواک زدن پس از هر وعده غذایی و استفاده از نخ دندان مخصوص ارتودنسی ضروری است. رژیم غذایی مناسب نیز اهمیت دارد؛ پرهیز از غذاهای سفت، چسبناک یا خیلی شیرین از آسیب به براکتها جلوگیری میکند. در روزهای ابتدایی، مصرف غذاهای نرم به کاهش فشار و ناراحتی کمک میکند. مراجعات منظم به مطب برای تنظیم براکتها یا پلاکها بخش جداییناپذیر درمان است. همچنین در صورت بروز درد یا زخم کوچک در دهان، استفاده از مومهای مخصوص یا مشورت با پزشک توصیه میشود. رعایت این نکات باعث میشود فرآیند درمان با آرامش و نتیجهای مطلوب همراه باشد.
سوالات متداول ارتودنسی در زنجان
مدتزمان درمان ارتودنسی به شدت ناهنجاریهای دندانی و نوع روش انتخابی بستگی دارد. در بیشتر موارد، درمان بین ۱۲ تا ۲۴ ماه طول میکشد. برای مشکلات سادهتر، این زمان ممکن است کمتر شود و برای موارد پیچیده یا نیازمند جراحی فک، مدتزمان بیشتری لازم است. مراجعه منظم برای تنظیم براکتها یا پلاکها نقش مهمی در کوتاهتر شدن زمان درمان دارد. دکتر احرامی در جلسه مشاوره، زمان تقریبی درمان را پس از بررسی دقیق مشخص میکند.
ارتودنسی بهطور کلی درد شدیدی ندارد، اما ممکن است در چند روز اول پس از نصب براکت یا تعویض سیمها کمی احساس فشار یا ناراحتی داشته باشید. این حالت طبیعی است و نشان میدهد که دندانها در حال حرکت به موقعیت صحیح هستند.
برای کاهش این احساس میتوان از مسکنهای ساده و رعایت رژیم غذایی نرم در روزهای ابتدایی استفاده کرد. دکتر احرامی متخصص ارتودنسی در زنجان، همچنین نکات مراقبتی لازم را برای راحتی شما توضیح میدهد.
هزینه ارتودنسی بسته به نوع درمان (ثابت، متحرک، نامرئی یا لینگوال)، میزان پیچیدگی مشکل دندانی و طول درمان متفاوت است.
برای رفاه بیماران، در مطب دکتر احرامی شرایط پرداخت اقساطی فراهم شده است تا درمان بدون فشار مالی انجام شود. هزینه دقیق پس از معاینه و انتخاب روش درمان در جلسه مشاوره مشخص میشود.
بله، ارتودنسی محدود به سن خاصی نیست و بزرگسالان نیز میتوانند از این درمان برای اصلاح نامرتبیهای دندانی و مشکلات فک استفاده کنند.
تنها تفاوت ارتودنسی بزرگسالان با کودکان این است که در سنین بالا رشد فک کامل شده و در برخی موارد، برای درمان مشکلات شدید، ممکن است نیاز به جراحی فک باشد. برای بزرگسالان معمولاً روشهای زیباییتر مانند ارتودنسی نامرئی یا لینگوال توصیه میشود.
حرف آخر
انتخاب یک متخصص باتجربه و استفاده از روشهای علمی و بهروز، مهمترین عامل موفقیت در درمان ارتودنسی است. دکتر ایلناز احرامی بهترین متخصص ارتودنسی در زنجان؛ با بیش از ۱۶ سال تجربه تخصصی در ارتودنسی و ناهنجاریهای فک و صورت، همواره تلاش کرده است تا بهترین خدمات را با بالاترین استانداردهای درمانی ارائه دهد.
در این مطب، از جدیدترین فناوریها برای اصلاح ناهنجاریهای دندانی استفاده میشود تا لبخندی سالم، زیبا و ماندگار برای بیماران به ارمغان بیاید.
اگر بهدنبال درمانی مطمئن، برنامهریزیشده و متناسب با شرایط خود هستید، مطب دکتر احرامی در زنجان یکی از بهترین انتخابها برای شما خواهد بود. همین امروز برای مشاوره و شروع مسیر زیبایی لبخند خود اقدام کنید.



